
What are composites?
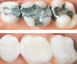
Composites are tooth-colored fillings. While amalgam fillings are made up of different metals and have a silver look to them, composites are composed of plastic and ceramic compounds.
After years working in dentistry, Monda & Weiss Family Dentistry has stayed up to date with all the latest technological advancements to bring you the best composite fillings available in Bellevue, Pennsylvania today.
How do I take care of composites?
Nutrition
Oral Hygiene
Regular dental visits
Should I get composites?
Composites can be great alternatives to amalgam and gold fillings. You may want to replace your old amalgam fillings - especially if they are deteriorating - with more subtle and aesthetically pleasing composites.
Even though it can take longer to place composites than amalgam fillings, they can still be done in one visit. Before you make your decision, we will go over the pros and cons of composites and what your options are.
At Monda & Weiss Family Dentistry every member of our focused and professionally trained team works together to efficiently and precisely place your fillings. We’ve had patients from all over Bellevue, Ben Avon, Ross township, West View, Ingomar, Sewickley, Coraopolis and surrounding areas come to us for great gentle dental care.

